How To Eat With Braces And Bite Blocks / Stick to soft foods, like mashed potatoes or yogurt, until your discomfort goes away.

How To Eat With Braces And Bite Blocks / Stick to soft foods, like mashed potatoes or yogurt, until your discomfort goes away.. Do you want to know why some patients need to get some metal appliances during the braces treatment? Most people find that they are more comfortable and can chew food more properly in 2 to 3 weeks after the braces go on. Brushing and flossing teeth with braces is a difficult task. Bite blocks are little bits of cement built up on your teeth, they stay for a while and you can't take them out on your own. After mastering chewing with braces, the bite blocks took me ten steps back.

Do you want to know why some patients need to get some metal appliances during the braces treatment? Here are some tips to make it easier for you to cope when eating with braces: My dd currently has braces but, they didn't put the blocks in. There is the possibility of choking or gagging if you eat these foods whole. Yes eating with them is a pain, but they do wear down a little and you'll get used to them.

Pin On Lyliarose Com Money Personal Finance Blogging
Pin On Lyliarose Com Money Personal Finance Blogging from i.pinimg.com
I've had my back ones for 6 months (my orthodontist said they're really big, around 2.5x the normal size to fix my issues) and they're still there today but no longer touch. Stick to soft foods, like mashed potatoes or yogurt, until your discomfort goes away. Chew slowly and carefully, and cut your food into small pieces. Do you want to know why some patients need to get some metal appliances during the braces treatment? 1 of transparent aligners for thousands of dentists and orthodontists. It's worth the sacrifice for the short time the braces and bite blocks are in. Just arrived back from orthodontist with ds (10) who has had twin block braces fitted to correct his overbite and adjust his jaw. Choose foods such as soups, smoothies, soft boiled rice, yogurt, boiled egg, mashed potatoes, or puddings.

I had braces put on today (fast track braces) so far the pain isnt too bad and they are not really uncomfortable.

After about a week you will be a pro at maneuvering your bite to enjoy foods with more sustenance. Foods to avoid with braces include…. And what are they for? bite turbos primary purpose is to. When they're putting the bite blocks on, the consistency of the bite block is like a thick glue.then it hardens on your tooth, and becomes as hard as a tooth. Foods that you need to bite into forcefully such as apples, raw carrots and corn. You can also take healthy drinks and fruit juice. I can honestly say i feel sick/upset, he looks like he's shoved a sock in his mouth; My dd currently has braces but, they didn't put the blocks in. This discomfort will likely last for a few days and can be aggravated by eating hard or crunchy foods like apples. Moreover, eating the wrong foods with new braces might result in damaging your brackets or wires, thus leading to urgent trips to your orthodontist and prolonging your treatment time. Choose food carefully and only eat soft food that will not damage the braces. When you first receive your twin block braces, your mouth and jaw will be sore. Yes eating with them is a pain, but they do wear down a little and you'll get used to them.

Bite blocks are small clear acrylic (plastic) blocks that are typically placed on the back of two of your upper front teeth. Of course, to eat a hamburger you have to bite into a hamburger using your front teeth. Crunchy foods such as chips and popcorn. Avoid hard foods at first. I can honestly say i feel sick/upset, he looks like he's shoved a sock in his mouth;

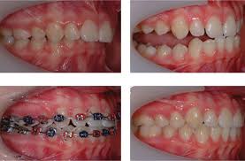
How Common Is It To Have Bite Blocks Bite Turbos Along With Braces How Long Do I Have To Wear It Quora
How Common Is It To Have Bite Blocks Bite Turbos Along With Braces How Long Do I Have To Wear It Quora from qph.fs.quoracdn.net
They do get easier but, you do need to adjust what type of foods you eat. The dentist put 'bite blocks' on my 1st lower molars, like white material to build them up to stop me biting down on the brackets. Starting with soft food right after you get your braces will help with getting used to these. This discomfort will likely last for a few days and can be aggravated by eating hard or crunchy foods like apples. I can honestly say i feel sick/upset, he looks like he's shoved a sock in his mouth; There is the possibility of choking or gagging if you eat these foods whole. Biting foods with your front teeth should be avoided as it will loosen/break your brackets. 1 of transparent aligners for thousands of dentists and orthodontists.

When you feel sore and painful because of the braces, you should eat softer and liquid foods.

Therefore, don't actually bite into any type of food with your front teeth. To ensure a smoother transition, you should consider making healthy food choices for the first couple of days, until you become accustomed to your new braces. Hard food such as nuts and pretzels. When you first receive your twin block braces, your mouth and jaw will be sore. Choose food carefully and only eat soft food that will not damage the braces. I don't know about turbos, good luck! Of course, to eat a hamburger you have to bite into a hamburger using your front teeth. Chewy foods such as hard rolls and liquorice. You can protect your braces even further by cutting your sandwich into small pieces before eating it. They do get easier but, you do need to adjust what type of foods you eat. By using your front teeth to bite into the burger you can potentially damage the brackets on the braces. Y., jang, i., choi, d. The smaller ones aren't too bad, they wear down pretty quickly to a shape that is easier to eat with.

By using your front teeth to bite into the burger you can potentially damage the brackets on the braces. It's just difficult to eat with them, because your teeth only meet at the bite blocks. I had braces put on today (fast track braces) so far the pain isnt too bad and they are not really uncomfortable. I have a friend who is in her twenties. Of course, to eat a hamburger you have to bite into a hamburger using your front teeth.

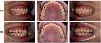
Bite Blocks For Braces What They Are And How They Work
Bite Blocks For Braces What They Are And How They Work from post.healthline.com
Bite turbos are temporarily bonded to open your bite. How long will eating with braces be a challenge? When they're putting the bite blocks on, the consistency of the bite block is like a thick glue.then it hardens on your tooth, and becomes as hard as a tooth. Im dreading to think how he's going to cope at school. Moreover, you must avoid sugary, sticky, and hard foods. 1 of transparent aligners for thousands of dentists and orthodontists. I could only chew with them as all my other teeth could not meet, so that was a weird sensation. Yes eating with them is a pain, but they do wear down a little and you'll get used to them.

Colder drinks, like a smoothie, may help to soothe pain.

You can also take healthy drinks and fruit juice. The smaller ones aren't too bad, they wear down pretty quickly to a shape that is easier to eat with. The only advice i can give you is to bite the bullet, pardon the pun, and eat normal foods even though it's uncomfortable. Apart from all of that, they did a really great job at keeping my braces in tact, and as they wore down from chewing and brushing, by about day 4 or 5 of having them on my. Im dreading to think how he's going to cope at school. Foods that are bitten into such as meat on the bone or corn on the cob should be cut in to bite size pieces. Biting foods with your front teeth should be avoided as it will loosen/break your brackets. Avoid hard foods at first. How long will eating with braces be a challenge? It's just difficult to eat with them, because your teeth only meet at the bite blocks. When they're putting the bite blocks on, the consistency of the bite block is like a thick glue.then it hardens on your tooth, and becomes as hard as a tooth. Choose food carefully and only eat soft food that will not damage the braces. Foods that you need to bite into forcefully such as apples, raw carrots and corn.

Posting Komentar

0 Komentar

Ad Code